www.secretosdesalud.es

CXCR6

Investigadores hallan un nuevo objetivo terapéutico para el cáncer de endometrio

24/04/2026@15:43:27

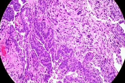
Investigadores de l'Institut de Recerca Biomèdica de Lleida (IRBLleida) i la Universitat de Lleida han identificat el receptor CXCR6 com a possible diana terapèutica per al càncer d'endometri. L'estudi, publicat a la revista Cell Death & Disease, revela que inhibir aquesta proteïna podria frenar la metàstasi en pacients amb formes agressives de la malaltia. Utilitzant models animals i mostres humanes, els científics han demostrat que bloquejar CXCR6 dificulta la migració cel·lular i redueix la càrrega metastàtica. Aquesta investigació obre noves vies per al desenvolupament de teràpies personalitzades i més eficients contra el càncer d'endometri.

  • 1