www.secretosdesalud.es

tratamiento personalizado

Investigadores del IBiS descubren nuevos factores que influyen en la agresividad del neuroblastoma infantil

17/02/2026@15:27:46

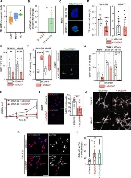
Un estudio del Instituto de Biomedicina de Sevilla (IBiS) ha revelado nuevas claves sobre la agresividad del neuroblastoma infantil, un cáncer que representa el 15% de las muertes por cáncer en niños. Publicado en la revista Cell Communication and Signaling, la investigación liderada por los doctores Francisco M. Vega y Ricardo Pardal identifica a las proteínas Rho GTPasas como cruciales en el comportamiento de estos tumores. Uno de los hallazgos más significativos es el papel de la proteína Cdc42, que actúa como un freno natural del tumor; niveles bajos de esta proteína están asociados con una mayor agresividad celular. Además, se desarrolló una nueva firma molecular que podría predecir la evolución de la enfermedad, permitiendo tratamientos más personalizados. Este avance abre nuevas oportunidades para mejorar las estrategias terapéuticas contra el neuroblastoma.

  • 1