www.secretosdesalud.es
Investigadores del IBiS descubren nuevos factores que influyen en la agresividad del neuroblastoma infantil
Ampliar

Investigadores del IBiS descubren nuevos factores que influyen en la agresividad del neuroblastoma infantil

martes 17 de febrero de 2026, 15:27h
Actualizado el: 17 de febrero de 2026, 19:12h

Escucha la noticia

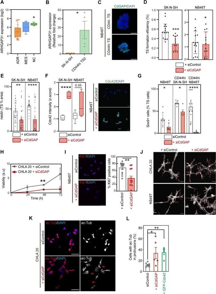
Un estudio del Instituto de Biomedicina de Sevilla (IBiS) ha revelado nuevas claves sobre la agresividad del neuroblastoma infantil, un cáncer que representa el 15% de las muertes por cáncer en niños. Publicado en la revista Cell Communication and Signaling, la investigación liderada por los doctores Francisco M. Vega y Ricardo Pardal identifica a las proteínas Rho GTPasas como cruciales en el comportamiento de estos tumores. Uno de los hallazgos más significativos es el papel de la proteína Cdc42, que actúa como un freno natural del tumor; niveles bajos de esta proteína están asociados con una mayor agresividad celular. Además, se desarrolló una nueva firma molecular que podría predecir la evolución de la enfermedad, permitiendo tratamientos más personalizados. Este avance abre nuevas oportunidades para mejorar las estrategias terapéuticas contra el neuroblastoma.

Un estudio internacional revela nuevas claves sobre la agresividad del neuroblastoma infantil

La investigación, publicada en la revista Cell Communication and Signaling, ha identificado un grupo de proteínas que son fundamentales en el comportamiento de los tumores de neuroblastoma, abriendo así la puerta a tratamientos más personalizados. Este trabajo ha sido liderado por los doctores Francisco M. Vega y Ricardo Pardal, junto con la primera autora María A. Gómez-Muñoz, del grupo IBiS de «Fisiopatología de células madre neurales».

Nuevas perspectivas en el tratamiento del neuroblastoma

El neuroblastoma se posiciona como el tumor sólido más común fuera del cerebro en niños y es responsable de aproximadamente el 15 % de las muertes por cáncer infantil. Su evolución es particularmente variable: mientras que algunos tumores pueden desaparecer sin intervención médica, otros crecen rápidamente y resultan difíciles de controlar.

El equipo investigador ha centrado su atención en una familia de proteínas conocidas como Rho GTPasas, que regulan funciones esenciales de las células, incluyendo su forma, movilidad y maduración. La maduración celular es crucial, ya que las células menos maduras tienden a ser más agresivas.

Papel clave de la proteína Cdc42

Uno de los hallazgos más significativos del estudio es el papel desempeñado por la proteína Cdc42, que actúa como un “freno natural” para el tumor. Cuando los niveles de Cdc42 son bajos, las células del neuroblastoma permanecen inmaduras y agresivas; sin embargo, cuando esta proteína se activa adecuadamente, las células comienzan a madurar y el tumor pierde parte de su malignidad.

Además, los investigadores han descubierto otra proteína llamada ARHGAP31 o CdGAP, presente en niveles elevados en las células tumorales más inmaduras. Esta proteína inhibe la actividad de Cdc42, lo que contribuye a mantener a las células en un estado agresivo.

Desarrollo de una firma molecular para predecir la evolución del neuroblastoma

El estudio también ha permitido desarrollar una nueva “firma molecular” basada en estas proteínas, que podría ser útil para predecir cómo evolucionará la enfermedad en cada paciente. Esto facilitaría a los médicos adaptar los tratamientos según las características específicas de cada niño, aumentando así las posibilidades de éxito terapéutico.

Los resultados sugieren que estimular la maduración celular mediante el control de estas proteínas podría constituir una estrategia terapéutica innovadora, especialmente para aquellos casos resistentes a los tratamientos actuales.

Este trabajo ha contado con el apoyo de la Asociación Niños Enfermos de Neuroblastoma (NEN).

Referencia: https://doi.org/10.1186/s12964-025-02649-3

"Rho GTPases signaling mediates aggressiveness and differentiation in neuroblastoma tumors". Cell Commun Signal (2026).

María A. Gómez-Muñoz, Mónica Ojeda-Puertas, Luis Luna-Ramírez, Aida Amador-Álvarez, Ismael Rodríguez-Prieto, Juan A. Cordero-Varela, Ricardo Pardal & Francisco M. Vega

Sobre el Instituto de Biomedicina de Sevilla (IBiS)

El Instituto de Biomedicina de Sevilla (IBiS) es un centro multidisciplinar dedicado a investigar las causas y mecanismos detrás de patologías prevalentes en la población y al desarrollo de nuevos métodos diagnósticos y terapéuticos.

IBiS está compuesto por 41 grupos consolidados y 39 grupos adscritos dirigidos por investigadores vinculados a la Universidad de Sevilla, el Consejo Superior de Investigaciones Científicas (CSIC) y varios hospitales universitarios. Se organiza en torno a cinco áreas temáticas: enfermedades infecciosas e inmunológicas, neurociencias, onco-hematología y genética, patología cardiovascular y respiratoria, así como enfermedades hepáticas e inflamatorias.

Para más información:

  • Unidad de Comunicación y Divulgación | UCC+i
  • Juanjo Mariscal González
  • Marta Castilla Martínez
  • Instituto de Biomedicina de Sevilla – IBiS
  • Campus Hospital Universitario Virgen del Rocío
  • Avda. Manuel Siurot s/n
  • 41013 Sevilla
  • Tel. 682730351
  • Email: [email protected]

Preguntas sobre la noticia

¿Qué es el neuroblastoma?

El neuroblastoma es el tumor sólido más común fuera del cerebro en niños y causa alrededor del 15 % de las muertes por cáncer infantil. Puede comportarse de maneras muy diferentes, desde desaparecer sin tratamiento hasta crecer rápidamente y ser difícil de controlar.

¿Cuál es el enfoque principal del estudio publicado en la revista Cell Communication and Signaling?

El estudio se centra en un grupo de proteínas llamadas Rho GTPasas, que ayudan a regular funciones básicas de las células, como su forma, capacidad para moverse y grado de maduración. Se identifican como piezas clave en el comportamiento agresivo del neuroblastoma.

¿Qué papel juega la proteína Cdc42 en el neuroblastoma?

Cdc42 actúa como un “freno natural” del tumor. Cuando sus niveles son bajos, las células del neuroblastoma permanecen inmaduras y agresivas; cuando está más activa, las células comienzan a madurar y el tumor se vuelve menos maligno.

¿Qué descubrimiento importante se hizo sobre la proteína ARHGAP31 o CdGAP?

Se encontró que ARHGAP31 se encuentra en niveles altos en células tumorales inmaduras y reduce la actividad de Cdc42, lo que favorece que las células mantengan un estado agresivo.

¿Cómo podría ayudar este estudio a los tratamientos del neuroblastoma?

El estudio ha permitido desarrollar una nueva “firma molecular” basada en estas proteínas que podría ayudar a predecir cómo evolucionará la enfermedad en cada paciente, facilitando así la adaptación de los tratamientos a cada niño y aumentando las posibilidades de éxito.

¿Qué implicaciones tiene esta investigación para futuros tratamientos?

Los resultados sugieren que estimular la maduración de las células tumorales mediante el control de estas proteínas podría convertirse en una nueva estrategia terapéutica, especialmente para los casos más resistentes a los tratamientos actuales.

¿Te ha parecido interesante esta noticia?    Si (0)    No(0)
Compartir en Google Bookmarks Compartir en Meneame enviar a reddit compartir en Tuenti

+
0 comentarios