www.secretosdesalud.es
Avances en terapia génica con CRISPR para distrofia muscular rara
Ampliar

Avances en terapia génica con CRISPR para distrofia muscular rara

lunes 02 de marzo de 2026, 14:44h

Escucha la noticia

Investigadores del Instituto de Salud Carlos III han logrado avances significativos en el desarrollo de una terapia génica utilizando CRISPR para tratar la distrofia muscular congénita asociada al gen LMNA, una enfermedad rara y actualmente incurable. El estudio, publicado en Molecular Therapy Advances, muestra que la edición genética puede aumentar la supervivencia y mejorar la función cardíaca en modelos animales afectados por esta patología. A pesar de que la eficiencia de edición es aún limitada, los resultados son prometedores y abren nuevas posibilidades para el tratamiento de enfermedades raras mediante terapias personalizadas. Este trabajo representa un paso importante hacia una posible cura para la L-CMD y refuerza el potencial de CRISPR en el ámbito de la medicina genética. Para más detalles, visita el enlace a la noticia completa.

Una reciente investigación del Instituto de Salus Carlos III (ISCIII) ha dado un paso significativo en el ámbito de la terapia génica, utilizando la herramienta de edición genética CRISPR para abordar una enfermedad muscular poco común y actualmente incurable: la distrofia muscular congénita asociada al gen LMNA, conocida como L-CMD. Este estudio, liderado por un equipo del Instituto de Investigación de Enfermedades Raras (IIER), ha sido publicado en la revista Molecular Therapy Advances.

Los hallazgos obtenidos en modelos celulares y animales indican un aumento en la supervivencia de los afectados por esta patología, marcando así la primera validación terapéutica de una estrategia de edición génica mediada por CRISPR-Cas9 para el tratamiento de la L-CMD.

Detalles sobre la Distrofia Muscular Congénita

La distrofia muscular congénita asociada al gen LMNA es un trastorno genético raro que se caracteriza por debilidad muscular desde una edad temprana, problemas cardíacos como miocardiopatía dilatada e insuficiencia respiratoria. Esta condición es monogénica, lo que significa que es causada por mutaciones en un único gen.

La tecnología CRISPR se presenta como una opción prometedora para tratar este tipo de enfermedades, ya que utiliza un mecanismo de 'tijeras moleculares' para modificar el ADN con precisión. Esto permite cortar, eliminar o reemplazar secuencias específicas del genoma, abriendo nuevas posibilidades para el tratamiento de enfermedades genéticas.

Resultados Prometedores en Modelos Animales

Bajo la dirección del doctor Ignacio Pérez de Castro, el equipo del ISCIII ha investigado cómo CRISPR puede eliminar la mutación más comúnmente asociada a esta enfermedad, Lmna c.745C>T, p.R249W. Utilizando una guía específica denominada sg745T, han confirmado que el complejo Cas9/sg745T muestra actividad específica hacia este alelo mutado.

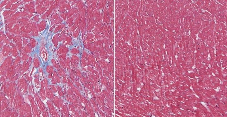
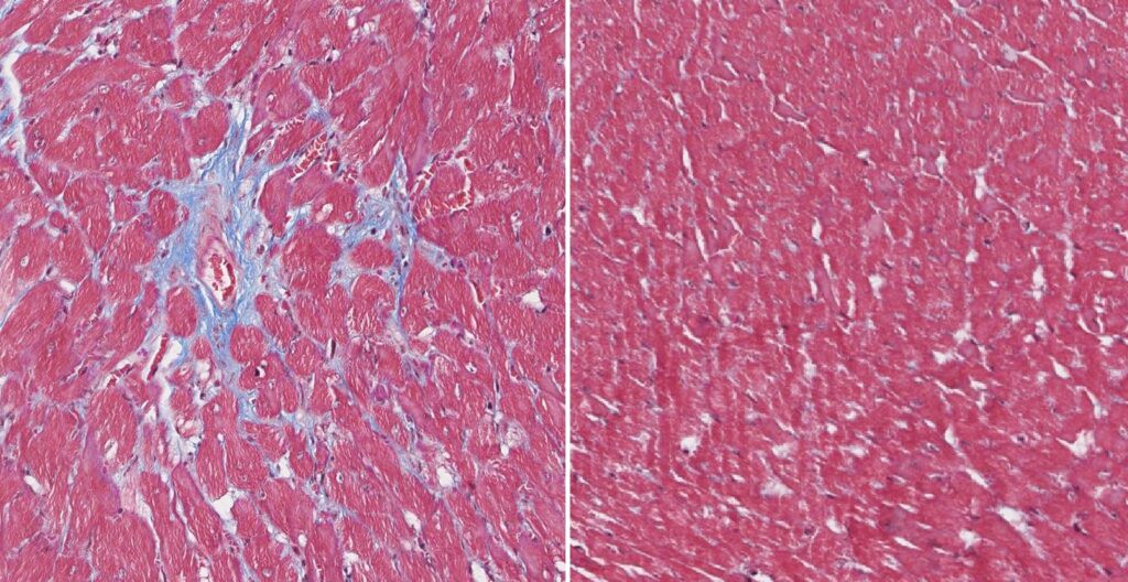
Los análisis realizados en un modelo murino han corroborado el potencial terapéutico de esta estrategia. Al administrar la terapia mediante virus adenoasociados a ratones portadores de la mutación causante de la enfermedad, se observó una mejora significativa en su patología cardíaca. Este avance permitió incrementar la supervivencia media de los animales en más del 20%, un resultado notable considerando que menos del 10% de los cardiomiocitos fueron editados por el sistema CRISPR.

Perspectivas Futuras en Terapia Génica

El doctor Pérez de Castro señala que este estudio representa un primer paso hacia el desarrollo de una terapia capaz no solo de aumentar la supervivencia sino también potencialmente curar la L-CMD. Además, subraya el potencial que tiene la terapia génica basada en CRISPR para abordar enfermedades raras como las laminopatías.

“Aunque hasta ahora hemos logrado una eficiencia limitada en la edición genética, los resultados son alentadores y superan nuestras expectativas. Estamos trabajando para mejorar estas limitaciones mediante editores evolucionados y optimizando los sistemas de entrega del complejo CRISPR”, afirmó Pérez de Castro. “Nuestro objetivo es desarrollar una terapia personalizada que beneficie al mayor número posible de pacientes con esta enfermedad rara y sirva como plataforma para futuros tratamientos dirigidos a portadores de otras mutaciones en el gen LMNA o a pacientes con distrofias musculares causadas por mutaciones puntuales en otros genes”.

Referencia del artículo: CRISPR-mediated targeting of the LMNA c.745C>T mutation enhances survival and cardiac function in congenital muscular dystrophy. Gómez-Domínguez, Déborah et al. Molecular Therapy Advances, Volume 34, Issue 1, 201653.

Vídeo divulgativo sobre la investigación y sus principales resultados disponible en Youtube ISCIII.

Preguntas sobre la noticia

¿Qué enfermedad se está tratando con la terapia génica basada en CRISPR?

Se está tratando la distrofia muscular congénita asociada al gen LMNA (L-CMD), una enfermedad muscular rara y actualmente incurable.

¿Cuál es el enfoque utilizado en la investigación?

La investigación utiliza la herramienta de edición genética CRISPR para eliminar la mutación más frecuentemente asociada a esta enfermedad, mejorando así la supervivencia y función cardíaca en modelos celulares y animales.

¿Cuáles fueron los resultados del estudio?

Los resultados sugieren un aumento de la supervivencia en modelos de ratón portadores de la mutación, con una mejora significativa en la patología cardíaca y un incremento de más del 20% en la supervivencia media de los animales tratados.

Quién lidera el estudio y dónde fue publicado?

El estudio fue liderado por el doctor Ignacio Pérez de Castro y se publicó en la revista Molecular Therapy Advances.

Qué futuro se prevé para esta terapia génica?

Se espera que este estudio sea un primer paso hacia el desarrollo de una terapia capaz de aumentar la supervivencia y potencialmente curar L-CMD, además de servir como plataforma para tratamientos personalizados para otras mutaciones en el gen LMNA o distrofias musculares causadas por otras mutaciones.

¿Te ha parecido interesante esta noticia?    Si (0)    No(0)
Compartir en Google Bookmarks Compartir en Meneame enviar a reddit compartir en Tuenti

+
0 comentarios