www.secretosdesalud.es

terapia genica

Avances en terapia génica con CRISPR para distrofia muscular rara

02/03/2026@14:44:17

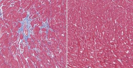
Investigadores del Instituto de Salud Carlos III han logrado avances significativos en el desarrollo de una terapia génica utilizando CRISPR para tratar la distrofia muscular congénita asociada al gen LMNA, una enfermedad rara y actualmente incurable. El estudio, publicado en Molecular Therapy Advances, muestra que la edición genética puede aumentar la supervivencia y mejorar la función cardíaca en modelos animales afectados por esta patología. A pesar de que la eficiencia de edición es aún limitada, los resultados son prometedores y abren nuevas posibilidades para el tratamiento de enfermedades raras mediante terapias personalizadas. Este trabajo representa un paso importante hacia una posible cura para la L-CMD y refuerza el potencial de CRISPR en el ámbito de la medicina genética. Para más detalles, visita el enlace a la noticia completa.

  • 1